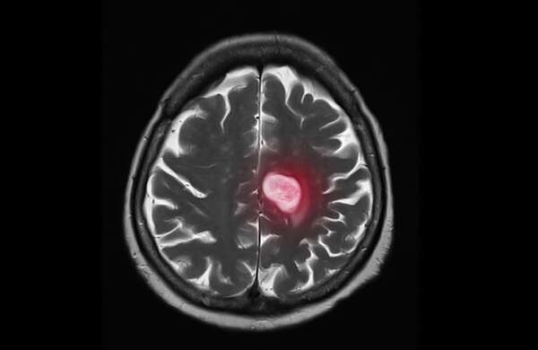
Descubren fármaco para frenar la metástasis cerebral del cáncer - Ciencia - ABC Color

MADRID. Investigadores han descubierto un mecanismo que permite a las células tumorales alterar el cerebro, facilitando metástasis. Un fármaco para asma, ibudilast, podría bloquear este proceso, abriendo nuevas vías para el tratamiento del cáncer y enfermedades neurodegenerativas. ...[Leer más]



Moopio.com no es responsable por las acciones de los sitios web de terceros ni por el contenido que estos publiquen. Las noticias y artículos a los que se enlaza desde este sitio son propiedad y responsabilidad de los autores y editores originales. No tenemos control sobre la veracidad, precisión, o legalidad de la información contenida en estos sitios. Más informacion en Términos de Servicio.


Compartir en Facebook Compartir en Twitter Compartir en Whatsapp Noticias Populares Últimas Noticias
Diario UltimaHora Diario UltimaHora
Bachi: “Si Chaqueñito renuncia hasta le estaría haciendo un favor al Senado”
El cartismo le soltaría la mano al senador Javier Chaqueñito Vera, quien amenazó a sus colegas con “renunciar”. Lejos de adularle, el presidente del Congreso, Basilio Bachi Núñez, dijo que "se llenó el vaso" con el ex Cruzada Nacional y que hasta le ha... [Leer más]

Marzo 25, 2026
Diario EXTRA Diario EXTRA
¡Le mandó al frente! Ex entregó a ladrón del caso del guardia asesinado
Se trata de uno de los asaltantes de la distribuidora Xtreme SRL, que robaron adelgazantes. Al parecer, no pudo con lo ocurrido y le confesó a su expareja, quien no se calló nada y contó todo a la policía. [Leer más]

Marzo 25, 2026    Nacionales
Diario EXTRA Diario EXTRA
Bachi Núñez por Chaqueñito: “Si renuncia estaría haciendo un favor al Senado”
El senador Javier Vera posteó en sus redes que estaría renunciando a su cargo, pero luego borró todo. El presi del Congreso, quien unos días antes nomás le estaba defendiendo a su colega, se tiró contra él. [Leer más]

Marzo 25, 2026    Nacionales
Diario UltimaHora Diario UltimaHora
¿Chaqueñito se va del Senado?
Surgen rumores de que el senador Javier Chaqueñito Vera renunciaría a su banca, pero no por el escándalo del acceso privilegiado a una vivienda económica del MUVH, sino por la difusión de audios comprometedores que lo involucrarían con menores de edad ... [Leer más]

Marzo 25, 2026
Diario EXTRA Diario EXTRA
Ka'ure se durmieron en pleno puente con el vehículo en marcha
Una pareja fue encontrada roncando en medio de un puente, con el vehículo encendido. Un motoca evitó una posible tragedia. [Leer más]

Marzo 25, 2026    Nacionales
Más Encarnación Más Encarnación
Encarnación celebra 411 años con crecimiento y proyección nacional
La ciudad se consolida como polo turístico y motor económico del sur del país [Leer más]

Marzo 25, 2026
Diario EXTRA Diario EXTRA
Chaqueñito ndaje piensa renunciar: "Quiero ser feliz, común y corriente", he'i
Según escribió, su decisión responde al deseo de ser “feliz, normal, común y corriente”. Pero fiel a su estilo, el senador se arrepintió y borró su publicación. [Leer más]

Marzo 25, 2026    Nacionales
Diario EXTRA Diario EXTRA
Amenazan con dejar a la gente sin colectivos
Piden que el gobierno pague el subsidio de enero y que suba el pasaje. [Leer más]

Marzo 25, 2026    Nacionales
Diario EXTRA Diario EXTRA
Le negaron a una niña con síndrome de Down jugar con otros niños en un club, denuncian
El evento deportivo de la primera fecha del Ranking Nacional de Vela, que debía ser una jornada de integración, se vio empañado por una grave denuncia de discriminación en el Club Náutico San Bernardino. [Leer más]

Marzo 25, 2026    Nacionales
Diario ABC Diario ABC
Pronóstico: Lluvias seguirían de manera dispersa este miércoles - Clima - ABC Color
Según la Dirección de Meteorología e Hidrología, este miércoles la jornada será mayoritariamente calurosa, con alto contenido de humedad. Tras varios días de inestabilidad, se prevén ya solo algunas lluvias dispersas. [Leer más]

Marzo 25, 2026
Noticias Populares Últimas Noticias